Gynäkologische Bildgebung

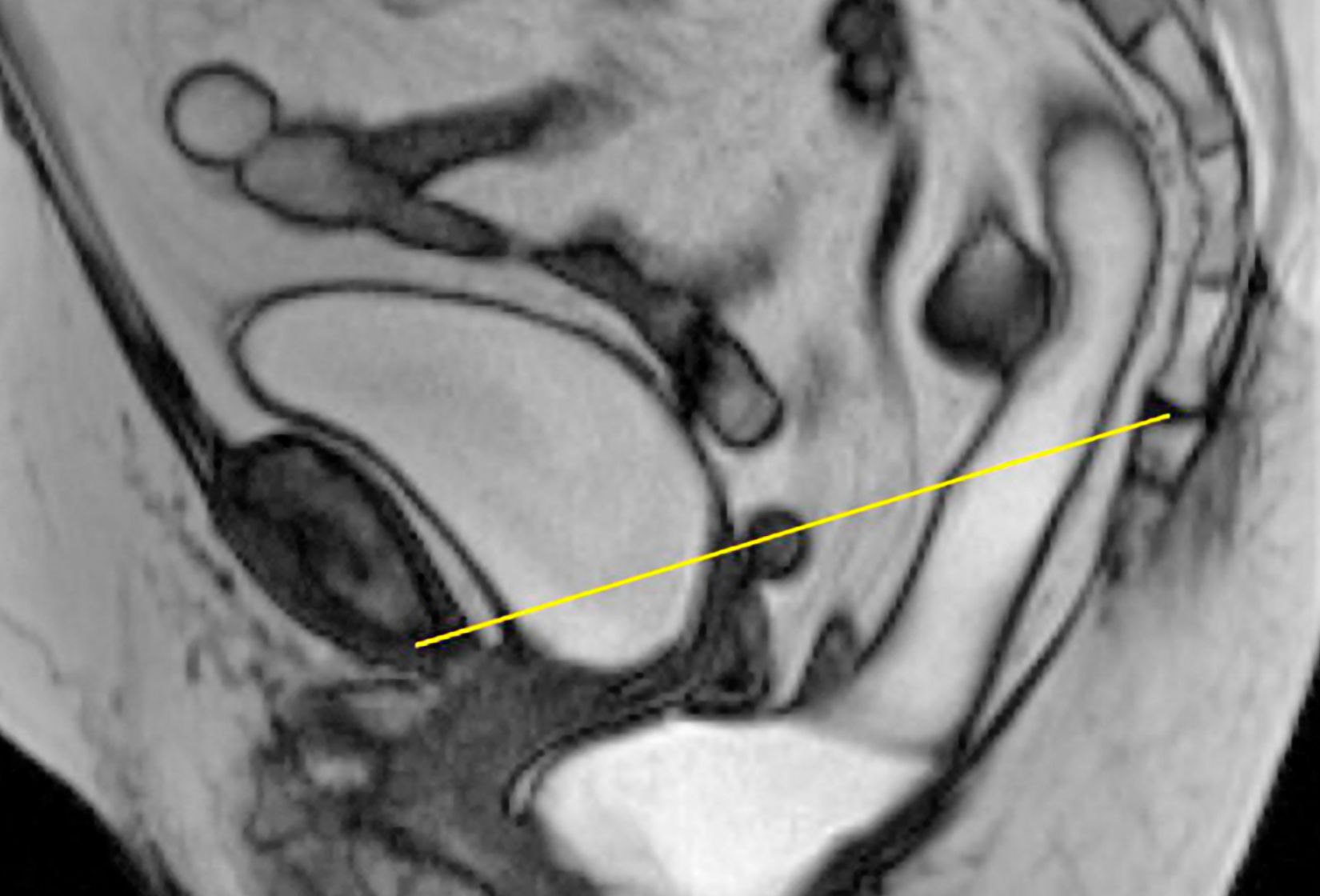
Neben der Standard-CT und -MRT-Untersuchung des Beckenbodens (siehe auch CT/ MRT) , kann bei speziellen Fragen auch eine dynamische Beckenboden-Untersuchung im MRT erfolgen. Die Patientin/ der Patient muss hierzu nicht nüchtern sein und es wird kein intravenöses Kontrastmittel gegeben. Eine Sedierung bei Platzangst ist nur eingeschränkt möglich , da bei dieser Untersuchung die Kooperation und Befolgen von Anweisungen im Gerät nötig sind. Die Untersuchung wird nach ausführlicher Anamnese und Erklärung und Übungen im Liegen durchgeführt.
Anmeldung nach der Indikationsstellung durch einen Proktologen, Gynäkologen oder Urologen als Privatpatient über das Sekretariat der Radiologie:
Chefarzt Prof. Dr. med. Stefan Müller-Hülsbeck
Radiologie und Neuroradiologie
Mo-Fr nach Terminvereinbarung
Knuthstraße 1
24939 Flensburg