Sonographie

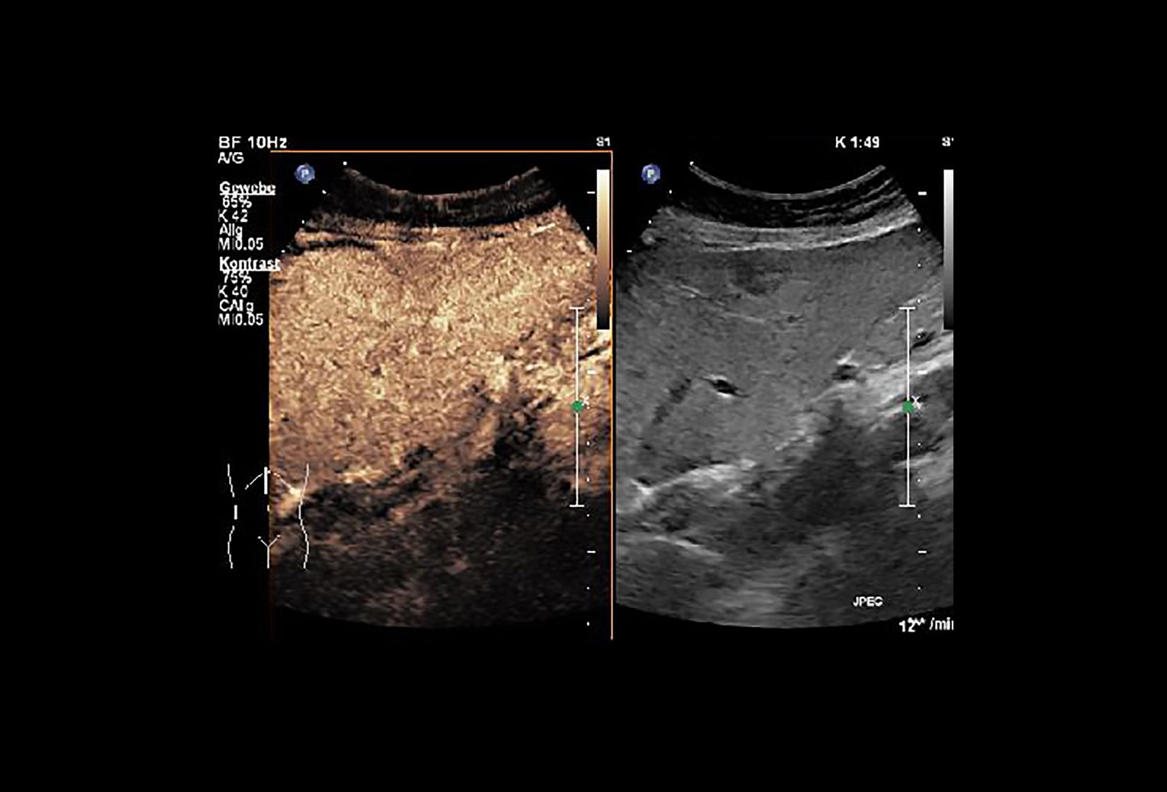
Die Sonographie – oder auch Ultraschall – ist eine Methode der Bildgebung, die ausschließlich mit Schallwellen arbeitet und so keinerlei Strahlenbelastung für den Patienten bedeutet. Ausgestattet mit modernen Hochleistungsgeräten ist es so oft möglich mit einer hohen Ortsauflösung auch kleinste Strukturen ohne Röntgenstrahlen darzustellen. Neben der Gefäßdiagnostik kommt die Sonographie regelmäßig zur Untersuchung des Abdomens (Bauchraum), des Thorax (Brustkorb), der Extremitäten sowie der Schilddrüse zum Einsatz. Das Leistungsspektrum umfasst zudem die kontrastmittelgestützte Sonographie u.a. zur Abklärung von Leberherden, oder aber auch von Endoleaks (bei Patienten mit Gefäßendoprothesen). Zudem wird die Sonographie im Rahmen aufwendiger Prozeduren in der Angiographie als zusätzliche Orientierungshilfe eingesetzt.